Transformationen
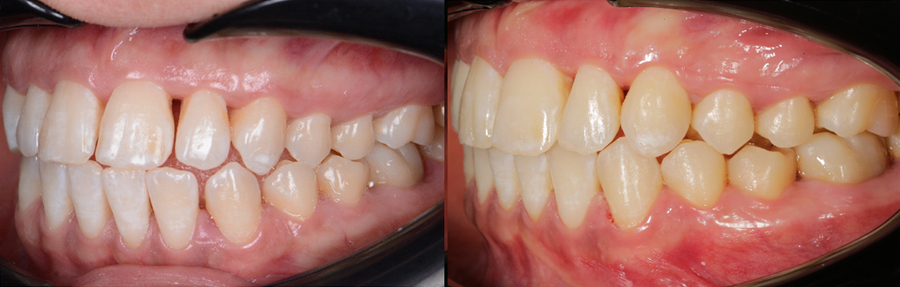
Fall 01
Zahnlücken
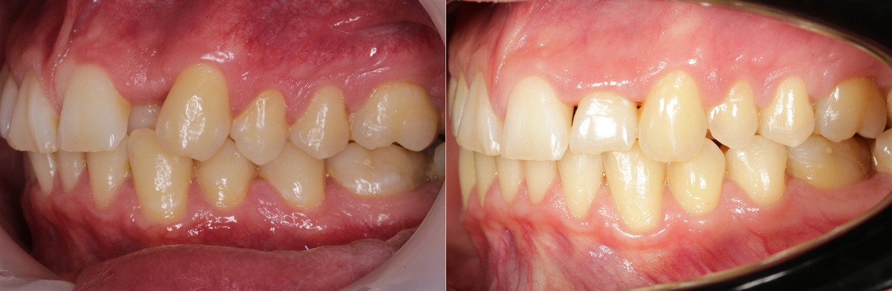
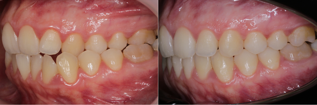
Fall 02
Engstand
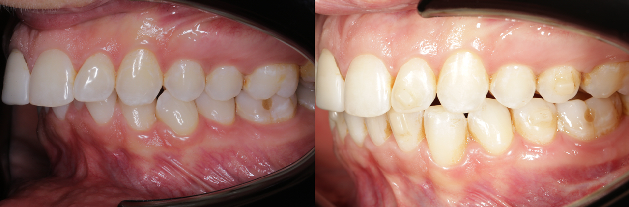
Fall 03
Offener Biss
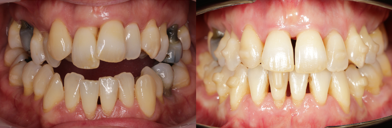
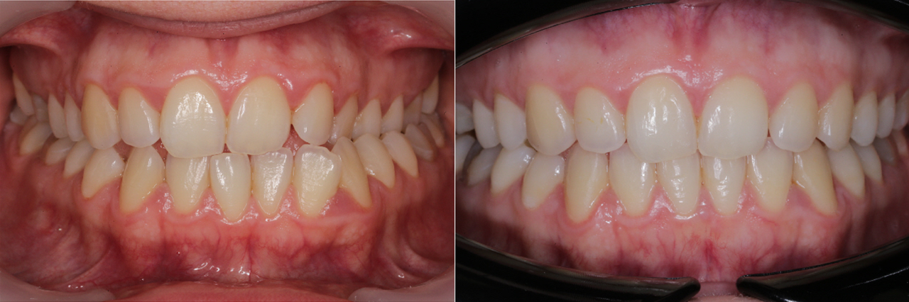
Fall 04
Überbiss
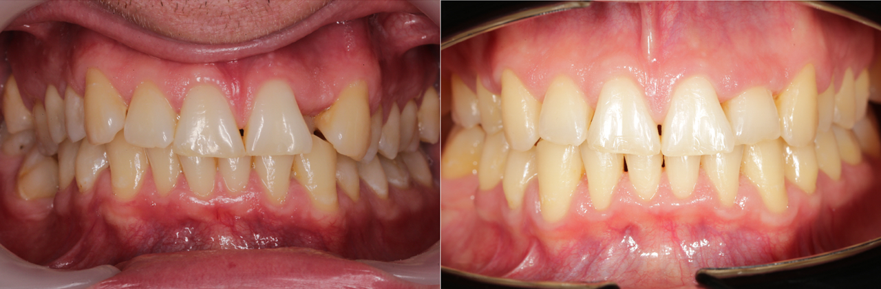
Fall 05
Anteriorer Kreuzbiss
Fall 06
Posteriorer Kreuzbiss
